DIAGNÓSTICO POR IMAGEN
Las nuevas técnicas de diagnóstico por imagen combinan la radiología digital y la ecografía para ofrecer información más detallada que nos ayuda como profesionales veterinarios en el diagnóstico de numerosos campos como por ejemplo:
- Diagnóstico y seguimiento de cojeras
- Exámenes pre-compra o compraventa
- Infosura o laminitis
- Cuidados del casco y herrajes ortopédicos
- Problemas de disminución del rendimiento deportivo
Nuestra unidad móvil está ampliamente equipada con modernos equipos para ofrecer un servicio profesional sin tener que desplazar al ejemplar, lo que supone una ventaja, ahorro y comodidad, además de ser una gran ayuda para el veterinario a la hora de realizar un diagnóstico preciso.
NUEVOS EQUIPOS

Tenemos un reto: mejorar en equipos, innovar en técnicas y en formación para seguir dando la atención veterinaria que buscas.
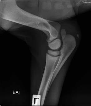
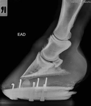
La radiología digital directa es una herramienta indispensable para el estudio v valoración en numerosas áreas de la atención veterinaria: valoración de cojeras, exámenes pre-compra, estudios radiológicos, diagnósticos más precisos en patologías, heridas, enfermedad…
Por eso nos mantenemos al día y nos renovamos con nuevos equipos de radiología digital directa que incorporan herramientas de diagnóstico y valoración con ventajas como:
- Radiografía en pantalla en 4 segundos
- Nuevas herramientas de ajuste y valoración. Base de estudios
- radiológicos
- Herramientas de medidas más completas y potentes
- Medidas e imagen 3D para evaluación del pie equino
- Imagen hibrida. Diagnóstico v herrado
RADIOLOGÍA DIGITAL








ECOGRAFÍA DE ÚLTIMA GENERACIÓN
La ecografía es una herramienta de diagnóstico muy eficaz en el estudio de los tejidos blandos. Se utiliza principalmente para el diagnóstico y valoración en:

SISTEMA MUSCULO-ESQUELÉTICO
Ecografía EPI origen del suspensor

APARATO REPRODUCTOR
Control de celos, inseminación, control de la gestación

CÓLICO EQUINO
Ecografía de abdomen en un caballo con cólico
CONTACTA
Si necesitas contactar con nosotros déjanos tus datos de contacto en el siguiente formulario o pulsa en el icono de whatsapp para escribirnos directamente.
Rellena el formulario y contactamos contigo a la mayor brevedad posible
DÓNDE TRABAJAMOS

Atendemos en toda la provincia de Málaga, pero puedes consultarnos si estás en otra zona.
Télefono: 677275530
Mail: jmromero.equsvet@gmail.com

AVISO LEGAL
POLITICA DE PRIVACIDAD
POLITICA DE COOKIES
